복부 초음파로 알 수 있는 것(질병) 검사 비용, 주기
복부 초음파란 무엇인가?
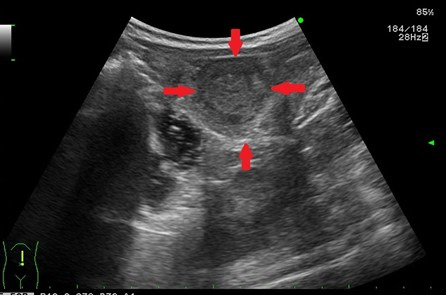
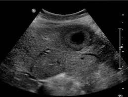
복부 초음파는 비침습적이며 방사선 노출이 없는 안전한 검사 방법으로, 초음파(ultrasound)를 통해 복부 내 장기들의 상태를 실시간으로 확인할 수 있는 진단 도구입니다. 복부 초음파로 알 수 있는 것 중에서는 특히 간, 담낭, 췌장, 비장, 신장, 방광, 대동맥, 소장, 대장 등의 상태를 파악할 수 있으며, 질환의 조기 발견에 탁월한 효과를 보입니다.



대표적인 복부 초음파로 알 수 있는 것(질환)
간 관련 질환
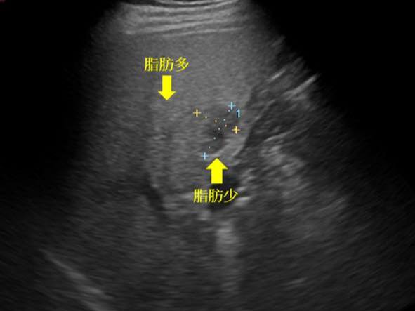
- 지방간: 간 조직 내 지방 축적 상태 확인 가능
- 간경화: 간 표면의 거칠음, 크기 변화, 비장 비대 여부 등 확인
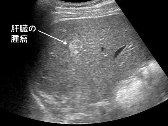
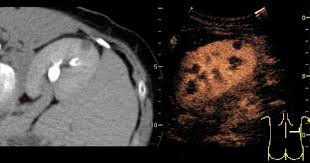
- 간암, 간종양: 실질 내부에 덩어리 유무 탐색
담낭 및 담도계 질환
- 담낭결석(담석증): 담낭 내 결석 존재 여부, 크기, 위치 확인
- 담낭염: 담낭 벽의 두께 증가, 액체 저류 관찰 가능
- 담도 폐쇄 및 담관암: 담관 확장 여부 및 폐쇄 병변 확인


췌장 질환
- 췌장염: 부종, 경계 불분명, 주변 염증 확인
- 췌장암: 췌장 조직 내 종괴 관찰 가능
신장 및 요로계 질환
- 신장결석: 콩팥 내 결석 확인 가능
- 수신증: 요관 폐쇄 등으로 신장이 부어 있는 상태 확인
- 신장 종양, 낭종: 악성·양성 종양 여부 1차 판별


비장
- 비장 비대: 간질환, 혈액암 등의 연관성 파악 가능
기타 복부 질환
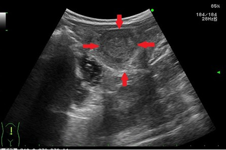
- 복부 대동맥류: 대동맥 직경 비정상적 확장 여부 확인
- 장염, 장중첩증: 장관 벽의 비정상적 부종, 중첩 확인
- 복수 확인: 간경화 또는 복막염 의심 시 복수의 양 확인









복부 초음파 검사 대상자
다음과 같은 증상이나 위험 요인을 가진 분들에게 복부 초음파 검사가 권장됩니다.
- 복통 (특히 오른쪽 윗배 통증)
- 식욕 저하 및 체중 감소
- 황달, 피부나 눈이 노랗게 변함
- 만성 간염 보유자
- 지방간 혹은 음주습관 있는 자
- 가족력 있는 경우 (간암, 췌장암 등)
- 건강검진 이상 소견이 있는 경우 (간수치, 요단백 등)













복부 초음파 검사 절차
검사는 대체로 10~20분 내외로 끝나는 간단한 과정입니다.
- 금식: 최소 6시간 금식 권장(특히 담낭 검사 시)
- 환자 준비: 배를 드러내기 쉬운 복장 착용
- 젤 도포: 초음파 탐촉자와 피부 접촉 향상을 위해 복부에 젤을 바름
- 탐색: 탐촉자를 위·아래·양옆으로 이동하며 각 장기를 촬영
- 체위 변화: 장기 위치에 따라 옆으로 눕거나 숨을 들이쉬게 요청
- 검사 종료 및 젤 제거












검사 소요 시간과 통증 여부
- 검사 시간: 약 10~20분 정도
- 통증: 무통증, 방사선 노출 없음
- 불편감: 젤이 차갑거나 약간 눅진한 감촉이 불편할 수 있음











복부 초음파 검사 비용
복부 초음파는 건강보험 적용 여부, 병원 규모 및 진료 항목에 따라 가격 차이가 있습니다.
- 건강보험 적용 시: 본인 부담금 2~5만 원 내외
- 비급여(건강검진 포함): 10만 원~16만 원 선 (기관에 따라 다름)
| 병원 구분 | 검사비용(예상) |
|---|---|
| 병원 구분 | 검사비용(예상) |
| 대학병원 | 13~16만 원 |
| 중소병원/내과 | 8~12만 원 |
| 건강검진센터 | 10~15만 원 |
| 종합검진 패키지 | 포함 시 별도 비용 無 또는 추가 5~7만 원 정도 |
주의사항: 보험 적용 여부는 ‘증상에 따른 진료’일 경우만 가능하며, 일반 건강검진이나 자비 검사 시에는 비급여로 분류됩니다. 병원 예약 전 반드시 확인이 필요합니다.















검사 주기 - 얼마나 자주 받아야 할까?
복부 초음파는 일반적으로 정기적으로 시행하는 검사는 아니며, 다음과 같은 상황에서 권장됩니다.
1. 증상이 있을 때
- 복부 통증, 소화불량, 체중감소, 황달 등 증상이 있을 경우 즉시 시행
2. 만성 질환자
- 만성 B형 간염, C형 간염, 간경변증 환자: 간암 조기 진단 위해 6개월마다 1회 권장
3. 정기 건강검진 목적
- 40세 이상 건강검진에 포함되지 않는 항목이지만, 위험인자 있다면 1~2년에 1회 시행 권장
4. 임신 시 태아 초음파 검사
- 태아 상태 확인을 위한 복부 초음파는 임신 중기(20주 전후) 이후 정기적으로 진행











복부 초음파의 장점과 한계
장점
- 방사선 노출이 없으며 안전
- 통증이 없고 시술 시간이 짧음
- 실시간으로 장기 구조 확인 가능
- 간단한 구조적 이상, 종양, 결석 탐지에 유용
한계
- 공기나 뼈로 가려진 장기(예: 위, 장 등)는 시야 확보 어려움
- 지나치게 비만하거나 복부 지방이 많은 경우 해상도 저하
- 췌장의 경우, 전부 확인하기 어려운 경우도 있음















검사 전 주의사항
- 최소 6시간 금식: 음식물은 담낭을 수축시키고 장내 가스를 유발하여 검사 방해
- 물은 소량 섭취 가능하나, 탄산음료·커피·우유 등은 금지
- 복부 수술 병력 있으면 의료진에 사전 고지















검사 결과 해석 방법
검사 결과는 영상의학과 전문의가 판독한 후, 진료과 주치의가 직접 설명합니다. 결과지에는 각 장기별 상태(정상/비정상), 이상 소견(결석, 종양, 낭종, 비대 등), 추후 검사 필요 여부 등이 기재됩니다.
결과에 따라 다음과 같은 조치가 이어질 수 있습니다.
- 정상 소견: 별도 조치 없이 추후 증상 모니터링
- 비정상 소견: CT/MRI 등 정밀 영상검사 필요
- 조직검사 필요: 간/췌장/신장 등 종양 의심 시















종합 결론
복부 초음파 검사는 위험 부담이 적고 간편하면서도 복부 내 장기들의 상태를 파악할 수 있는 매우 유용한 검사입니다. 특히 간, 담낭, 췌장, 신장 등의 질환을 조기에 진단하고 치료할 수 있어, 증상이 있을 때는 반드시 검사하는 것이 좋습니다. 또한, 만성 간질환자나 고위험군은 정기적인 초음파 검사를 통해 암 등의 심각한 질환을 예방할 수 있습니다.












비용은 약 10만~16만 원 사이로, 건강보험이 적용될 경우 부담이 적으며, 정확한 금액은 병원에 따라 달라지므로 사전 확인이 필요합니다. 검사 주기는 증상 및 개인 질환 이력에 따라 달라지므로, 주치의와 상담 후 주기적으로 계획하는 것이 바람직합니다.
'건강' 카테고리의 다른 글
| 설사가 계속될 때... 어떡하지? (0) | 2025.11.10 |
|---|---|
| 당뇨환자 소고기, 돼지고기 먹어도 될까? (0) | 2025.10.04 |
| 삭힌 홍어 효능 (0) | 2025.09.05 |
| 혈액검사 비타민디 수치 (0) | 2025.08.24 |
| 계란 효능과 부작용, 칼로리, 갈색계란·흰계란 차이점 (0) | 2025.06.17 |